5. L’uomo, maschio e femmina

 

 

 

Seguendo la nostra carrellata sulle schiere della creazione, dopo aver considerato la biosfera in generale, arriviamo a quel particolarissimo organismo che è l’essere umano. Per riconoscerne la peculiarità partiamo, come si dice, da Adamo ed Eva, anzi da prima, da quando cioè Eva non era ancora stata chiamata così.

Nel primo capitolo della Genesi è scritto che, alla fine della sua opera, il sesto giorno della creazione, “Dio creò l’uomo a sua immagine; lo creò a immagine di Dio; li creò maschio e femmina.” (Genesi, 1:27).

Notiamo che, prima di dire che Dio creò gli uomini (‘otàm אֹתָֽם complemento oggetto del pronome personale di terza persona plurale) maschio e femmina (zakhàr u-nekevàh זָכָר וּנְקֵבָה) è riaffermato due volte che Dio creò l’uomo (‘otò אֹתֹו, terza persona singolare) a immagine di Dio (betzelem Elohyim בְּצֶלֶם אֱלֹהִים).

In realtà, il proposito di fare l’uomo a immagine di Dio era già stato espresso nel versetto precedente. E la stessa intenzione è ribadita in Genesi 5:1-2, dove il testo aggiunge “li benedisse e diede loro il nome di uomo, il giorno che furono creati”.

Adàm אָדָם, la parola ebraica che traduciamo con uomo, come peraltro il greco ànthropos (ἄνθρωπος), si riferisce all’intera specie che oggi chiamiamo Homo sapiens, comprendendo cioè sia il maschio che la femmina dell’essere umano. In ciò che segue cercheremo di approfondire le ragioni per le quali essere creati a immagine di Dio come specie è intimamente collegato al fatto di essere stati creati maschio e femmina come individui.

Dimorfismo sessuale

Le differenze fisiche tra gli individui che appartengono alla stessa specie ma sono di sesso diverso nel gergo degli scienziati vanno sotto l’etichetta generale di dimorfismo sessuale.​

dimorfismo uomo

Nella nostra specie, il dimorfismo può essere più o meno marcato, ed è comunque presente a diversi livelli. Oltre ai caratteri sessuali primari che sono presenti fin dalla nascita (anzi anche da prima della nascita; difatti, con l’ecografia, il sesso del nascituro si riconosce già al quarto mese di gestazione) e quelli secondari (che si sviluppano con la pubertà), il corpo dei maschi e delle femmine presenta molte altre differenze. Talvolta difficilmente descrivibili.

Se all’inizio, come i cuccioli delle altre specie di mammiferi, appena nati i maschietti si differenziano dalle femminucce quasi solo per gli organi genitali (per questo, li marchiamo con vestitini di diverso colore e altri segni, per es. gli orecchini), poi, con la crescita, i caratteri sessuali primari e secondari assumono maggiore importanza. Normalmente tendiamo però a coprirli, facendo piuttosto risaltare solo le differenze più sottili.

anna-may-wong-516121

L’appartenenza a uno o all’altro sesso è marcata, a seconda delle culture, da diversi codici vestimentari.

Nella Bibbia è scritto chiaramente di non invertire questi segni: “La donna non si vestirà da uomo, e l’uomo non si vestirà da donna poiché il SIGNORE, il tuo Dio, detesta chiunque fa tali cose” (Deuteronomio 22:5).

Torneremmo sul significato spirituale di questo comandamento alla fine della meditazione. Vediamo intanto di approfondire il senso della differenza tra maschile e femminile e quello della loro unione nell’essere a immagine di Dio.

Ricordo e sensazione

Naturalmente, essere stati creati maschi e femmine non è prerogativa degli uomini. Qualche capitolo più avanti, sempre nel libro della Genesi, è scritto che Dio disse a Noè: “Di tutto ciò che vive, di ogni essere vivente, fanne entrare nell’arca due di ogni specie, per conservarli in vita con te; e siano maschio e femmina.” (Genesi 6:19). E per gli animali, il testo ebraico usa le stesse identiche parole usate per l’uomo.

Ma vediamo meglio quali siano queste parole nel testo originale e cosa significhino. L’ebraico ci può infatti aiutare a cogliere il senso profondo del collegamento tra essere creati maschi e femmine ed essere creati a immagine di Dio. La parola ebraica per “maschio” (zakhar, זָכָר) ha la stessa radice della parola che significa “ricordare”. La parola per “femmina” (neqevah, נְקֵבָה) ha invece la radice del verbo che significa “perforare, incidere, trafiggere, bucare” (naqav, נָקַב), che, oltre che all’organo sessuale, possiamo riferire alla sensazione e più in generale alla sensibilità, cioè alla capacità di venire impressionati.

La sensazione è necessariamente nel tempo: è causata da impulsi elettrici (accompagnati da scariche di molecole) che devono per forza avere un inizio e una fine. La memoria invece risulta, anche soggettivamente, dall’ordine che mettiamo tra le nostre sensazioni. Un ordine che, possibilmente, non deve cambiare. Così il ricordo, più che con il tempo, è collegato con ciò che sta fuori dal tempo, cioè con l’eternità.

Essere stati creati a immagine di Dio in quanto maschi e femmine può quindi essere collegato con la capacità di ricordare e quella di sentire. Due facoltà complementari  ma in qualche modo anche antagoniste. Anche su questo dobbiamo tornare.

Livree e umanità

Il dimorfismo sessuale in certe specie è marcato da segni più evidenti, in altre meno.
Varia considerevolmente anche nella stessa famiglia, o in famiglie vicine.

In molte specie di mamiferi, soprattutto tra gli animali domestici, le differenze tra maschi e femmine sono veramente minime.

cavalli

Invece tra molte specie di pesci e di uccelli, il dimorfismo è molto pronunciato.

Perché le livree dei maschi sono spesso più vistose di quelle delle femmine? Questo fatto sembra contraddire quello che è in generale il concetto che abbiamo di femminilità. Ma se ci pensiamo un attimo, ci ricordiamo che in natura il maschio non deve piacere al maschio, ma alla femmina. Non è quindi che gli animali maschi siano più vanitosi delle femmine, come diciamo proverbialmente del pavone. Il fatto che spesso i maschi sono più appariscenti dimostra esattamente il contrario, e cioè che nel regno animale le femmine sono in genere più impressionabili, più sensibili cioè a ciò che si vede, di quanto non lo siano i maschi…

peacock-feather-186339_640

In realtà, lo stesso discorso vale anche per l’uomo. La cosa è particolarmente evidente in certe tribù africane, come gli Wodaabe del Niger, per esempio.

1997_274-24_Gerewol

Giovani Wodaabe che concorrono alla gara rituale Guérewol, nel Niger. Foto di Dan Lundberg – 1997 #274-24 Gerewol, CC BY-SA 2.0

512px-1997_275-15_young_Wodaabe_women

Donne Wodaabe. Non lo mostrano, ma stanno osservando attentissimamente le decorazioni degli uomini, perché saranno loro a decidere chi sarà il vincitore della gara di bellezza. Foto di Dan Lundberg – 1997 #275-15 young Wodaabe women, CC BY-SA 2.0

Ma anche nelle nostre culture possiamo osservare che i maschi cominciano a curare il loro aspetto esteriore proprio quando entrano nella pubertà, cioè nel momento in cui devono cominciare ad essere attraenti per le femmine.

Ad ogni modo, il fatto che nei pesci il dimorfismo sessuale sia più pronunciato che nei mammiferi, e che nei mammiferi (e addirittura nei primati) sia meno pronunciato in quelli che sono più simili a noi, ci dimostra abbastanza chiaramente che essere marcatamente maschio (o marcatamente femmina) non è un segno di umanità, e tanto meno di divinità. Anzi.

Per questo non vogliamo parlare degli aspetti esteriori della mascolinità e della femminilità, senza per questo trascurare l’importanza di non confondere maschio e femmina. Ci interessa piuttosto comprendere il senso profondo di questa differenza. Andiamo perciò a esplorare il sistema più intimo e più importante del nostro corpo: l’encefalo.

Forme del cervello

Dall’esterno, il cervello dell’uomo e quello della donna, a parte una leggera differenza in termini di massa, non appaiono molto diversi. Ma il fatto che il cervello delle femmine sia morfologicamente identico a quello dei maschi, non significa che non ci siano delle differenze. Infatti, diversamente da quanto accade per altri organi e apparati, la forma esteriore del cervello non dice direttamente molto sulle sue funzioni e alcune differenze sono state invece riscontrate (ma ci torneremo dopo e senza darvi troppa importanza).

dorsal-brain

Osservando la sua anatomia esterna, la prima cosa che notiamo è che il cervello è un oggetto abbastanza simmetrico, almeno nel senso della simmetria bilaterale. Meno simmetrico però delle nostre mani, dei nostri polmoni o di altri organi che abbiamo a coppie. Vediamo che è fatto di due emisferi, uno destro e uno sinistro, che non sono perfettamente identici. Attraverso vari studi con varie tecniche, dalla neuropsicologia al neuro-imaging (su alcune di queste metodiche torneremo tra poco), gli scienziati hanno dimostrato che i due emisferi hanno funzioni diverse: non solo governano rispettivamente il lato opposto del corpo (l’emisfero destro, il lato di sinistra, e viceversa), ma controllano anche diverse funzioni mentali: il sinistro è più logico-analitico, il destro più intuitivo. E alcuni studi, più o meno recenti, hanno anche dimostrato che le donne usano l’emisfero destro più di quanto lo usino i maschi, o meglio, che ne fanno un uso più generalizzato. Ma, come già detto, non è su queste differenze che ci concentreremo. Se non molto brevemente, tra poco.

Cervello e cervelletto

brain-512758_640

Oltre alla notevole simmetria tra destra e sinistra che, in vista dorsale, lo rende simile a un guscio di noce, il cervello umano presenta anche una evidente asimmetria: tra la parte anteriore e quella posteriore, sotto la quale si trova un organo a se stante: il cervelletto.

Questa asimmetria è ancora più forte negli altri animali. Se guardiamo come cambia il sistema nervoso centrale nei vertebrati, vediamo che man mano che ci si avvicina all’uomo, una delle cose che varia di più è precisamente la lunghezza del cervello, e con questa il rapporto tra le dimensioni del cervello e del cervelletto.

duck-cerebellum

Nei pesci, nei rettili e negli uccelli, il cervelletto è quasi grande come il cervello.

Ma a cosa serve il cervelletto? Per certo sappiamo che dal cervelletto dipende soprattutto la nostra capacità di mantenere l’equilibrio nel movimento. Sappiamo anche che non serve a svolgere attività mentali coscienti, cioè a pensare.

La principale differenza tra cervello e cervelletto è stata infatti scoperte attraverso ricerche neuropsicologiche (la neuropsicologia è disciplina che studia gli effetti sulla mente delle lesioni cerebrali naturali o anche prodotte per scopi medici sugli uomini (oppure sperimentalmente sugli animali). Infatti, se asportiamo il cervelletto di un paziente (cosa che i medici in certe circostanze hanno dovuto fare), la coscienza di quel paziente non viene alterata. Questo ci riporta verso la nostra domanda: cosa rende l’uomo diverso da tutti gli altri animali (di nessuno dei quali è scritto che sono stati creati a immagine e somiglianza di Dio) e cosa c’entra questo con l’essere maschio e femmina.

Dentro i tessuti nervosi

Rispetto al cervello, il cervelletto presenta una caratteristica molto fortemente marcata: l’ordine e la compartimentazione. Non solo tra i due emisferi del cervelletto non c’è nessuna connessione (mentre tra quelli del cervello corre la matassa di nervi che viene detta corpo calloso), ma, anche singolarmente, tutti gli scompartimenti di cui è composto il cervelletto sono ben separati gli uni dagli altri, come i diodi di una camera digitale (un esempio sviluppato da Giulio Tononi nella sua teoria dell’informazione integrata, su cui ritorneremo più tardi). La corteccia cerebrale è invece formata da varie regioni e strati che sono altamente interconnessi.

ippocampo-e-cervelletto

Sezioni istologiche. Sopra gli strati della corteccia a livello dell’ippocampo. Sotto, i compartimenti in cui si articola il tessuto nervoso nel cervelletto.

Questa importante differenza tra cervello e cervelletto arriva fino al livello delle cellule e si può infatti chiaramente osservare al microscopio. Ma prima di parlare di queste differenze dobbiamo ricordare alcune elementari nozioni di neuro-istologia, dire cioè alcune altre cose sui tessuti del cervello.

La superficie del cervello umano appare più corrugata di quella del cervello di tutti gli altri animali, perché i suoi giri e i suoi solchi permettono di contenere all’interno del cranio la massima estensione della corteccia cerebrale: un tessuto che, microscopicamente, è costituito da una fitta rete di cellule, dette neuroni, come è stato scoperto dall’autore dei disegni qui sotto, Santiago Ramon y Cajal (Premio Nobel per la Medicina nel 1906, per aver descritto e correttamente interpretato la struttura cellulare dei tessuti nervosi).

corteccia-e-cervelletto

A sinistra, una cellula del cervelletto; a destra, cellule della corteccia cerebrale. Disegni di Santiago Ramón y Cajal.

neuroni-al-confocale

Visti a un maggiore ingrandimento, i neuroni sono formati da un corpo centrale che si dirama in strutture chiamate dendriti (déndron in greco significa “albero”). Sulle diramazioni più sottili si formano le sinapsi (una parola coniata dal greco per dire “contatto”, o “connessione”). Queste ultime sono delle strutture macromolecolari altamente specializzate attraverso le quali i neuroni comunicano tra di loro e con altre cellule specializzate (cellule muscolari, sensoriali o ghiandole del sistema endocrino).

sinapsi

Dendriti di un neurone ippocampale in coltura. Le sinapsi appaiono in verde per la colorazione fluorescente di una classe di recettori. Immagine prodotta con un microscopio confocale da Eduard Korkotian (Weizmann Institute of Science, Israele).

Esistono diversi tipi di sinapsi. In genere, fanno sì che il segnale elettrico sia trasmesso o meno da un certo punto della ramificazione del neurone alla struttura raggiunta da quella ramificazione (e non viceversa). Negli insetti sono solo elettriche, dalle lumache in sù si parla di sinapsi chimiche, perché il passaggio dell’eccitazione elettrica non è diretto, ma è mediato da varie sostanze chimiche, più o meno complesse.

In sostanza, le sinapsi governano il flusso delle informazioni nel sistema nervoso centrale. Le nostre sensazioni, i nostri movimenti, I nostri pensieri e i nostri ricordi, dal punto di vista neurofisiologico, non sono altro che onde che corrono da una parte all’altra del cervello, modificandone le cellule e anche i tessuti.

Nel cervello si contano varie decine di miliardi di neuroni. Se già i dendriti dei nostri neuroni sono un numero incalcolabile, quanto meno si possono contare le sinapsi, cioè gli snodi di questa continua danza di microscopiche scariche elettriche, che sbocciano e sfioriscono sui rami dei neuroni, facendo accendere l’una o l’altra serie di percorsi.

colonna-corticale

Lunghe ognuna circa 2 mm, le colonne della neocorteccia contengono, a seconda della specie, da 10.000 a 100.000 neuroni. L’immagine tratta dal sito del Blue Brain Project EPFL (Losanna, CH), rappresenta la ricostruzione in silico di una singola colonna corticale.

Le immagini che corrono sulla sinistra evidenziano la complessità e la circolarità dei collegamenti tra i neuroni della corteccia. Si tratta di immagini che provengono da una ricerca mirata a simulare l’attività all’interno di una colonna corticale e che ci danno un’idea della complessità dei collegamenti tra le cellule che formano il tessuto nervoso nella corteccia cerebrale.

Il cervelletto, invece, pur contenendo 80% dei neuroni dell’encefalo, occupa uno spazio molto minore del cervello, proprio perché, come abbiamo già visto, i neuroni sono molto ben impacchettati e compartimentati.

clique

Connettività in un microcircuito corticale ricostruito al computer. Immagine tratta da Cliques of Neurons Bound into Cavities Provide a Missing Link between Structure and Function pubblicato su “Frontiers in Computational Neuroscience” ( giugno 2017) da Michael W. Reimann (Blue Brain Project, EPFL, CH) et al.

La vita sociale del cervello

La complessità del sistema non sta solo nel gran numero di elementi e di connessioni di cui è composto, ma anche nel modo in cui questi elementi si legano gli uni agli altri. Normalmente, le connessioni seguono un principio di rafforzamento (simile a quello per cui “piove sempre sul bagnato” a cui abbiamo già accennato altre volte, e che Gesù ha espresso dicendo che a chi ha sarà dato e sarà nell’abbondanza, ma a chi non ha sarà tolto anche quello che crede di avere, Matteo 25:29 e parall.). Un principio che nelle neuroscienze è noto come “regola di Hebb” (dal nome del neuropsicologo canadese Donald O. Hebb che l’ha formulata negli anni ’40): tendono a stabilirsi contatti tra quei neuroni che scaricano assieme mentre i neuroni che scaricano in occasioni diverse tendono a trovare connessioni diverse.

Di queste cose parleremo meglio un’altra volta, quando tratteremo più precisamente del rapporto tra il cervello e il resto del corpo. Per il momento basta ricordare che in corteccia avvengono continuamente un’incalcolabile quantità di eventi, che determinano le nostre sensazioni del mondo circostante e anche il ricordo che ne conserviamo. Aggiungendo che ricordi e sensazioni si influenzano a vicenda, perché non solo ricordiamo quello che abbiamo sentito (percepito), ma anche sentiamo (percepiamo) quello che ricordiamo e conosciamo.

Ricordo e sensibilità quindi, anche se sembrano funzioni antagoniste (abbiamo tutti fatto esperienza del fatto che la sensazione di qualcosa presente cancella il ricordo di quella stessa cosa nel passato), lavorano in realtà assieme in un rapporto dinamicamente complesso. La cui profonda complessità si manifesta anche nella nostra vita spirituale, nella quale non potremmo fare a meno né dell’insensibilità del ricordo, né della sensibilità della sensazione. Infatti se la nostra sensibilità è ciò che ci rende deboli, è d’altra parte anche ciò che ci rende capaci di riconoscere la debolezza degli altri, di averne compassione e di potere quindi amare il nostro prossimo e venirgli in aiuto. Se non è accompagnata dalla compassione e dalla misericordia, anche quella che possiamo considerare come fedeltà a Dio può portarci lontano dalla verità e dalla volontà del nostro Creatore (Giovanni, 8:3-11; Matteo, 9:13). La capacità di andare oltre l’orizzonte del presente si deve cioè armonizzare con quella di analizzare e discernere i minimi dettagli di ciò che percepiamo.

Intravediamo qualche metaforico riferimento all’unione tra maschio e femmina nel matrimonio e alla natura divina di questa unione. Ma stiamo anticipando troppo: torniamo al nostro discorso sul cervello.

La corteccia riveste l’encefalo sia sopra che sotto, cioè sia all’esterno che all’interno della “ciotola” (dove si trova, tra le altre, la struttura detta talamo), formando il sistema talamo-corticale, che è stato definito il sistema più complesso di tutto l’Universo conosciuto.

risonanza1

Sezioni coronale (sinistra) e sagittale (destra) della testa di un giovane maschio visualizzate da dati di risonanza magnetica nucleare.

Visto in sezione (qui in risonanza magnetica), il cervello mostra chiaramente la differenza tra quella che è stata chiamata materia grigia e la materia bianca, alla quale solo recentemente si comincia a dare la dovuta importanza.

La materia grigia è formata dai corpi cellulari e dai dendriti più corti e sottili, la materia bianca da quelli più lunghi, detti assoni, i cui fasci, anche fuori dal cervello, formano i nervi, e, all’interno del cervello, le connessioni tra le diverse regioni della corteccia.
Le cellule della neocorteccia che rivestono la parte superiore del cervello sono tutte altamente collegate le une alle altre, in ordinate aree. Tra le altre, ci sono delle aree che governano la sensazione e il movimento di tutte le parti del corpo.

homunculus

Sulla sinistra, l’area detta somato-sensoriale, con le parti del corpo che vi sono mappate. Sulla destra, il cosiddetto homunculus, cioè la figura umana disegnata secondo la proporzione della corteccia dedicata a ogni parte del corpo.

La neuropsicologia e la neurofisiologia del secolo scorso hanno ricostruito con buona precisione come nella corteccia sia proiettata tutta la superficie del nostro corpo, in modo che a ogni punto sulla pelle e su altri organi sensibili corrisponde un preciso punto nel cervello. Ma i punti che, verticalmente, corrispondono a sensazioni e a movimenti possibili, orizzontalmente, nella corteccia, sono collegati tra di loro in una rete che si va formando con le nostre esperienze, anche seguendo la regola di Hebb che abbiamo ricordato prima. Così, per esempio, quando delle sensazione sono state provate simultaneamente, nel cervello tenderà a formarsi un collegamento tra i rispettivi punti che le rappresentano in corteccia (pensiamo alla madleinette di cui ci racconta Marcel Proust alla fine della sua Recherche e al mondo di ricrdi che ha potuto risvegliare).

Ogni persona, oltre alla rete di connessioni che derivano dal suo patrimonio genetico e che grossomodo condivide in particolare con il suo gruppo etnico e, più in generale, con l’umanità, ha anche una sua unica rete di connessioni cerebrali che dipende dall’unicità delle sue esperienze (come parlano di genoma specifico e individuale, allo stesso modo gli scienziati parlano anche di connettomi specifici e individuali). Oggi la circuiteria che garantisce queste connessioni può essere visualizzata in vivo a livello d’organo (cioè su scala macroscopica) grazie a una  particolare elaborazione trattografica dei dati di risonanza magnetica.

gr1_lrg

Immagini trattografiche DTI (Diffusion Tensor Imaging) che descrivono l’andamento dei fasci di assoni (fibre nervose) di cui è costituita la materia bianca.

Da qualche decennio, le connessioni tra le aree della corteccia possono essere verificate anche in diretta con le immagini della risonanza magnetica funzionale, una tecnica che si basa sul fatto che nel momento dell’attivazione c’è un maggiore flusso di sangue nella regione corticale attivata.

uomo maschio e femmina 30 novembre.pptx.pptx

Nell’immagine, le aree responsabili dell’ascolto e della produzione del linguaggio visualizzate in risonanza magnetica funzionale (fMRI).

Dimorfismo cerebrale

Ora, le differenze anatomiche più importanti tra maschi e femmine sono state rilevate non a livello della materia grigia, ma a livello delle connessioni tra le aree della corteccia che avvengono attraverso i fasci nervosi che costituiscono la materia bianca, il connettoma a cui abbiamo appena accennato.

maschio-e-femmina-commettività

Sopra, cervello maschile; sotto, cervello femminile. In blu le connessioni che si sono sviluppate tra aree dello stesso emisfero; in arancione, tra aree di emisfero diverso. Immagine tratta da Sex differences in the structural connectome of the human brain Ragini Verma et al, University of Pennsylvania, PNAS, n ovembre 2013.

Lo studio da cui sono tratte queste immagini ha dimostrato che i maschi sono più connessi all’interno di ciascun emisfero, le femmine tra i due emisferi.
Il che grosso modo significa che i maschi si specializzano verso l’integrazione tra movimento e percezione, mentre le femmine tra logica e intuizione.
Possiamo anche notare che le connessioni tra emisferi sono quasi soltanto nella parte anteriore del cervello. Infatti sono totalmente assenti nel cervelletto.

Coscienza, automatismi e diversi tipi di memoria

In realtà, il cervelletto non è l’unica sede in cui i nostri neuroni registrano le istruzioni per compiere movimenti automatici. Anche alla base del cervello, attorno al talamo, sono dislocate varie strutture, chiamate complessivamente nuclei, o gangli, della base, che formano dei circuiti più o meno chiusi, delle specie di relè che ci servono per tutte le serie di azioni che compiamo senza pensarci, azioni anche molte più complesse del camminare e del mantenere l’equilibrio: procedure semi-coscienti come lavarsi i denti, trovare i tasti quando si scrive a macchina o si suona il piano, lavorare a maglia, chiudere la porta di casa, ecc., cose che facciamo almeno parzialmente “in automatico” e delle quali poi anche, a volte, non siamo ben sicuri se le abbiamo fatte o meno.

gangli-della-base

Il complicato sistema dei nuclei della base, dove vengono smistate le azioni che svolgiamo in serie, decidendone coscientemente solo l’inizio. Anche i nuclei della base formano circuiti relativamente semplici e indipendenti gli uni dagli altri.

Sono tutte azioni che formano delle serie sequenziali: impariamo a farle con l’esercizio, cioè con la ripetizione, fino a che le facciamo senza pensarci, cioè senza doverle recuperare dalla memoria.
Dopo aver parlato della sensazione vediamo infatti apparire la memoria, seppure in negativo. Ma come si formano i ricordi e dove vengono conservati? Bella domanda! Peccato però che non possiamo neanche abbozzare una risposta. Limitiamoci a dire che la formazione dei ricordi, per quello che se ne è capito è un processo generalizzato del cervello, anche se ci sono regioni specializzate (come l’ippocampo) per il recupero e lo smistamento delle informazioni. Le nostre memorie si stratificano, letteralmente, procedendo, man mano che vengono scremate, verso le aree frontali, da dove procedono le nostre decisioni.

pathway

Una rappresentazione schematica del percorso delle informazioni per la formazione della memoria auditiva del linguaggio (parlato)

Quando impariamo a parlare, certe associazioni si rafforzano, sia nell’area del riconoscimento acustico (di cui dobbiamo ancora parlare), sia nelle regioni dove si formano le memorie procedurali a cui abbiamo appena accennato. Non ci soffermiamo sui dettagli, anche perché ci sono per lo più ignoti. La cosa importante da capire e ricordare è che quando l’attivazione di una cellula induce l’attivazione di un altra si forma un legame associativo. L’insieme di queste connessioni produce dei circuiti complessi (i neuroscienziati parlano correntemente di reti neurali). Queste sequenze possono essere riattivate anche in assenza dello stimolo fisico che le ha generate, per esempio nel sogno, o nell’immaginazione, o, soprattutto nel ricordo.

Abbiamo visto prima che le differenze tra maschio e femmina non sono tanto tra le morfologie esterne ma in quelle che si sviluppano internamente per un diverso uso delle connessioni. Del resto, quello che ci interessa capire non è quali siano, statisticamente, le principali differenze tra maschi e femmine, quanto piuttosto perché essere sia maschi che femmine, ci rende, come esseri umani, a immagine del Dio che ci ha creati.

Abbiamo parlato di azioni che il nostro corpo compie senza neanche accorgersene, come camminare, nuotare, o anche guidare la macchina. Azioni che in linea teorica potrebbero essere compiute anche da animali, o da robot: non sono queste, quindi, le azioni che ci rendono umani. Nemmeno lo sono azioni più complesse come suonare uno strumrnto musicale o dipingere un quadro. Quello che ci rende umani, seguendo il nostro discorso, è l’unità e l’unicità delle nostre esperienze cioè la speciale fusione di ricordo e sensazione che ne sta alla base.

Ritornando al significato dei termini che designano “maschio” e “femmina” nella lingua ebraica, abbiamo cercato di vedere e cerchiamo di vedere ancora in che senso questi due termini possono venire interpretati dal punto di vista delle neuroscienze, e che luce le neuroscienze possono dare alla parola ricordo e alla parola sensazione (e alla interconnessione tra queste due facoltà), partendo in particolare da un problema che i neuroscienziati si sono posti e si stanno continuando a porre: cos’è la coscienza?

Cos’è la coscienza?

Ci sono concetti che stanno alla base della nostra esperienza e che per questo è molto difficile definire. Un esempio classico è il concetto di tempo. Ma anche con il concetto di coscienza i filosofi in poassato e oggi i neuroscienziati hanno le loro serie difficoltà. Infatti nessuno ha ancora saputo dire positivamente cosa sia la coscienza, o, detto in altri termini, nessuno ha ancora saputo dare una spiegazione scientifica del suo sparire con il sonno profondo (non REM) e del suo riemergere quando cominciamo a sognare e poi ci svegliamo.

Cosa ci distingue da un ipotetico robot capace di parlare e muoversi come noi, diciamo un replicante come quelli di Blade Runner? Questo quesito è stato chiamato dagli scienziati “the Hard Problem” (l’espressione è del filosofo e neuroscienziato australiano David John Chalmers).

Abbiamo già parlato delle associazioni tra diverse aree della corteccia. Abbiamo anche già detto con la risonanza magnetica funzionale si può vedere che le le diverse aree non sono interessate solo specificamente, ma che una certa stimolazione, diciamo in un punto del corpo, può espandersi e interessare nella nostra percezione anche altri punti.

Così, anche se ad ogni punto della corteccia corrispondano specifiche funzioni o aree del corpo, l’attivazione di una parte produce normalmente anche l’attivazione di altre regioni. Non solo nel caso degli stimoli e degli sforzi di memoria visualizzati in queste immagini fMRI.

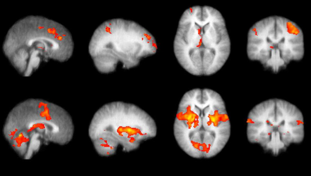
fmriPAIN

Attivazione di aree cerebrali per uno stimolo doloroso e per lo sforzo per riconoscerne o ricordarne la fonte. Sopra, le aree cerebrali che si attivano durante il compito di descrivere dove i soggetti ricevevano lo stimolo doloroso; sotto, e l’effetto dello stimolo. Immagine tratta da Brain Mechanisms Supporting Spatial Discrimination of Pain pubblicato su The Journal of Neuroscience (marzo 2007) da Yoshitetsu Oshiro et al.

Per il principio che abbiamo ricordato prima (la regola di Hebb), per cui i gruppi di neuroni che vengono attivati assieme tendono a stabilire collegamenti gli uni con gli altri e a venire attivati e riattivati assieme, si formano delle reti di collegamenti che rimangono anche in stato di riposo. Infatti la risonanza magnetica funzionale ha mostrato non solo quali aree cerebrali si attivano in corrispondenza di determinati stimoli sensoriali o di determinati compiti cognitivi, ma anche che esiste una rete di collegamenti che è stabilmente attiva anche quando la nostra mente è a riposo.

resting-fmri

fMRI in stato di riposo. Aree che si attivano assieme durante la veglia quando il soggetto non è impegnato in nessun compito particolare. Immagine realizzata con un programma elaborato allo State Key Laboratory of Cognitive Neuroscience and Learning della Beijing Normal University.

Come abbiamo già detto, i  nostri ricordi non occupano una particolare regione del cervello, ma consistono nelle connessioni tra neuroni anche di aree diverse. In qualche modo quello che impariamo determina la formazione del tessuto nervoso con cui lo impariamo.
Infatti, non esistono solo aree con compiti chiaramente definibili come quelle responsabili del movimento del corpo, della visione, dell’ascolto, della comprensione e della produzione del linguaggio, ma anche aree cosiddette associative, la cui funzione è meno definita ma che sono essenziali all’unitarietà della nostra esperienza vissuta.

Ognuna delle aree della corteccia e degli organi che formano il sistema talamo-corticale ha architetture cellulari diverse (la corteccia è organizzata in vari strati) e diverse conformazioni. Come funzioni esattamente questo sistema non lo sa nessuno.

Quello che si sta scoprendo, comunque, mostra sempre meglio che il sistema nervoso centrale è un sistema complesso nel senso contemporaneo della parola e cioè è un sistema la cui non solo le parti determinano il funzionamento della totalità ma anche la totalità determina il funzionamento delle parti.

Le connessioni coerenti che chiamiamo sensazioni vengono in qualche modo “scritte” nel sistema in modo da poter venire riattivate nel ricordo, ma è lo stesso ricordo che guida la sensazione perché consiste nel modo in cui le connessioni si sono stabilizzate. Cominciamo a vedere con una certa chiarezza come sensazione e ricordo formino effettivamente una dualità molto vicina a quella tra femminile e maschile (o, in termini ancora più astratti, tra locale e globale) e, vedremo meglio tra poco, simile anche alla natura stessa di Dio.

Abbiamo già detto che tutta la corteccia è connessa da una fittissima rete di collegamenti nervosi (fasci di assoni, materia bianca fibrosa) tra un’area e l’altra. Abbiamo anche già detto che gli scienziati parlano oggi di connettoma e ne studiano la morfogenesi nei fenomeni che chiamano di neuroplasticità. Se ci pensiamo, effettivamente, quando percepiamo un suono, un odore, un colore, queste sensazioni prendono senso dal confronto con le sensazioni nel loro contesto e con tutte le sensazioni che non stiamo avendo in quel preciso istante. La percezione cosciente è fatta di informazione integrata con il ricordo di altra informazione.

Le immagini trattografiche mostrano la struttura del nostro connettoma come si è formata nel corso degli anni e che rimane uguale anche quando dormiamo. Ma come possiamo assistere al formarsi della coscienza? La fMRI mostra quello che avviene nel giro di qualche secondo. Ma è ancora troppo lenta. Perché i nostri pensieri avvengono nell’ordine dei millisecondi.

eeg-1

L’elettroencefalogramma (EEG) permette di registrare con ottima risoluzione temporale (millisecondi) le variazioni di campo elettrico in corteccia. Il problema dell’EEG è che ha una pessima risoluzione spaziale, cioè non è affatto semplice ricostruire con certezza dove si trovi l’origine delle onde che vengono registrate (ha una precisione dell’ordine dei centimetri, mentre occorrebbe quella dei millimetri). Vedremo però tra poco come alcuni ricercatori interessati al problema della coscienza abbiano ovviato a questo problema.

eeg-2

In alto, un EEG durante la veglia: si vede come variano le onde da elettrodo a elettrodo. In basso, un EEG durante il sonno profondo (nonREM). In questa fase del sonno la coscienza tace completamente e il cervello si comporta come un unico “budino”.

Le connessioni tra le diverse aree della corteccia formano la rete attivabile nel nostro sistema talamo-corticale, ma noi non siamo sempre coscienti. La coscienza non sta quindi nell’anatomia, ma nel modo in cui l’anatomia viene utilizzata, nel come cioè si attivano coerentemente assieme varie aree della corteccia rimanendo ognuna in qualche modo sempre se stessa.
Alcuni neuroscienziati esperti di connessioni cerebrali e delle condizioni di coscienza e incoscienza (sonno, coma) hanno elaborato una misura del grado di integrazione dell’informazione cioè dell’unità di un sistema nella differenza tra le sue parti.

uomo maschio e femmina 4

Immagini tratte da “An information integration theory of consciousness”, Giulio Tononi, Department of Psychiatry, University of Wisconsin, Madison USA. Due sistemi i cui elementi sono collegati in modo da esprimere un diverso grado di informazione. Nel grafo in alto ogni elemento ha un diverso rapporto con gli altri. Nel grafo in basso, sono tutti collegati nello stesso modo, l’informazione è molto minore.

Questa misura è stata applicata ai valori elettroencefalografici ottenuti producendo uno stimolo magnetico in un punto preciso all’interno del cranio e in un momento preciso, in modo da localizzare con precisione eventi in corteccia e onde elettriche.

TMS sonno veglia

A sinistra, la registrazione EEG delle onde prodotte da una stimolazione magnetica transcranica (TMS) nella veglia (sopra) e nel sonno profondo (in mezzo e sotto, con impulsi di crescente intensità). A destra, l’interpretazione in termini di grafi di rete delle diverse risposte di diversi sitemi. In alto, l’impulso non riesce a diffondersi. In mezzo, si diffonde in un sistema dove l’informazione si integra rimanendo diversificata, mentre nell’ultimo si diffonde in modo indifferenziata. Immagini tratte dal libro Nulla di più grande, di Giulio Tononi e Marcello Massimini

Spieghiamo un po’ meglio. In questi esperimenti, l’impulso è stato generato con stimolazione magnetica transcranica (TMS) e registrato con EEG. La stimolazione magnetica transcranica è una tecnica che permette di attivare specifiche regioni del cervello senza dover aprire la scatola cranica. Il fenomeno è stato scoperto per alcune allucinazioni prodotte negli operai che lavoravano vicino a grandi turbine elettriche.

Nelle immagini che seguono sono contenuti i risultati di alcuni di questi esperimenti che dimostrano una correlazione tra la lo stato di coscienza della veglia e l’integrazione dell’informazione, secondo la teoria sviluppata da Giulio Tononi. La coscienza si produce quando le aree della corteccia sono collegate (integrazione), ma ognuna mantiene un certo grado di libertà per esprimere le sue differenze (informazione).

Unità nella differenza

Possiamo insomma dire che ricordo e sensazione sono complementari in un senso molto profondo e generale. Infatti senza ricordo non c’è vera sensazione, perché la percezione di un colore è la discriminazione di quel colore da tutti gli altri. D’altra parte senza sensazione non c’è vero ricordo, perché la memoria deve essere riempita di ricordi precisi, altrimenti non è memoria di niente.

Ritorniamo quindi al nostro tema: maschio e femmina, che, dicevamo, in ebraico sono etimologicamente collegati al ricordo e alla sensazione. Forse ora capiamo meglio cosa c’entri tutto quello che abbiamo detto sul cervello con la differenza tra maschio/ricordo e femmina/sensazione, e soprattutto con il fatto che siamo stati creati a immagine di Dio.
Naturalmente, sentiamo e ricordiamo tutti quanti, sia maschi che femmine. Ma se consideriamo il ricordo come la capacità di astrarsi dalla sensazione presente per collegarsi ad altri momenti e fare il “punto nave”, vediamo un collegamento con la natura maschile del governo e con ciò che la teoria della coscienza chiama integrazione (e che spiritualmente si potrebbe forse chiamare coerenza, o integrità). D’altra parte, se intendiamo la sensazione come qualcosa che ci assorbe totalmente nel presente e che sarà anche almeno parzialmente dimenticata, vediamo apparire un collegamento con la natura femminile e con quello che nella teoria della coscienza è l’informazione.
Pensiamo, per esempio, al parto. Alla donna era stato detto che avrebbe sofferto in gravidanza e avrebbe partorito con dolore (Genesi, 3:16). Ma Gesù ha anche ricordato che quei dolori vengono cancellati dalla gioia per aver dato alla luce un suo bambino. “La donna, quando partorisce, prova dolore, perché è venuta la sua ora; ma quando ha dato alla luce il bambino, non si ricorda più dell’angoscia passata, per la gioia che sia venuta al mondo una creatura umana” (Giovanni, 16:21).
Conversamente, il ricordo ha a che fare con l’insensibilità, perché deve essere in qualche modo impermeabile alla sensazione, che normalmente lo cancella. Per ricordare, bisogna non lasciarsi travolgere dalle sensazioni e dalle emozioni del presente. Cosa che è normalmente e innanzitutto richiesta ai maschi, come lo è la circoncisione. Ovviamente la richiesta di non lasciarsi travolgere dalle sensazioni e dalle emozioni non è solo per i maschi (e infatti, in Deuteronomio 10:16, il SIGNORE dice a tutti quanti, maschi e femmine, di circoncidere il proprio cuore). Ma sono i maschi quelli che devono farlo innanzitutto.

Colui che ha fatto l’orecchio non udrà egli?

La Bibbia ci dice che la forza dell’uomo sta nella sua fedeltà a Dio e nel riporre in lui ogni speranza, nella capacità cioè di astrarsi da ciò che si vede e si sente per guardare a ciò che è eterno e non può essere visto. La Legge di Mosè ordinava di non guardare in faccia a nessuno, neanche ai più intimi affetti, quando si trattava di salvaguardare la propria fedeltà al SIGNORE (cf. per esempio Deuteronomio 13:6-11). E anche Paolo esorta a tenere il nostro sguardo fisso “non alle cose che si vedono, ma a quelle che non si vedono; poiché le cose che si vedono sono per un tempo, ma quelle che non si vedono sono eterne” (2Corinzi, 4:18)

D’altra parte, la nostra sensibilità non è solo ciò che ci rende deboli, ma è anche ciò che ci rende capaci di riconoscere la debolezza degli altri, di averne compassione e di aiutarli nel modo giusto (cf. per es. 1Giovanni, 3:17). Se non è accompagnata dalla compassione, anche la fedeltà a Dio può portarci lontano dalla verità e dalla volontà del nostro Creatore.

Le Scritture sono scritte perché potessimo sapere come dobbiamo comportarci per essere santi della sua santità secondo sua stessa natura, come è stata rivelata a Mosè sul Monte Horeb.
“Dio disse a Mosè: «Io sono colui che sono». Poi disse: «Dirai così ai figli d’Israele: “L’IO SONO mi ha mandato da voi”». Dio disse ancora a Mosè: «Dirai così ai figli d’Israele: “Il SIGNORE, il Dio dei vostri padri, il Dio d’Abraamo, il Dio d’Isacco e il Dio di Giacobbe mi ha mandato da voi”. Tale è il mio nome in eterno; così sarò invocato di generazione in generazione. Va’, raduna gli anziani d’Israele e di’ loro: “Il SIGNORE, il Dio dei vostri padri, il Dio d’Abraamo, d’Isacco e di Giacobbe mi è apparso, dicendo: Certo, io vi ho visitati, ho visto quello che vi fanno in Egitto e ho detto: Io vi farò uscire dall’Egitto, dove siete maltrattati, verso il paese dei Cananei, degli Ittiti, degli Amorei, dei Ferezei, degli Ivvei e dei Gebusei, in un paese nel quale scorre il latte e il miele.” (Esodo 3:14-17).
Il SIGNORE si presenta a Mosè come Colui che è, anzi con il Nome di “Io sono colui che sono” con il verbo all’imperfetto, che in ebraico è anche il futuro, cioè il tempo profetico dell’eternità. Ma, nello stesso passo, si presenta anche come colui che ha visto le sofferenze del suo popolo (poco prima dice anche di aver udito il suo grido).

Anche noi abbiamo questa doppia natura: vediamo e sentiamo come gli animali (caso per caso, anche molto meno), ma, molto più degli animali, riusciamo a mettere ordine tra i nostri pensieri. Anche se infinitamente meno di Dio, la nostra mente può spaziare nella storia passata e viaggiare attraverso paesaggi lontani (e anche lontanissimi). E la nostra vita personale, di maschi e di femmine, è fatta di quessto continuo passaggio tra la nostra mente come un tutto e tutte le innumerevoli parti che la compongono.

Il regno di Dio e l’impero dell’uomo

Purtroppo però non sempre l’ordine che mettiamo è quello giusto, né lo mettiamo sempre per i giusti motivi. Ci piace costruire dei sistemi filosofici, scientifici, o religiosi che “raggiungano il cielo” (come quella famosa torre di Genesi 11:4), quando non mirano a controllare militarmente ed economicamente  tutta la terra. In realtà, questi sistemi, anche se sono fatti per fare viaggiare l’informazione, tendono alla fine a distruggere le differenze, al servizio di un io, anziché dell’amore di Dio. E l’immagine di Dio nella quale siamo stati creati può venire facilmente rovesciata.

moneta

“Mostratemi la moneta del tributo. Ed essi gli porsero un denaro. Ed egli domandò loro: Di chi è questa effigie e questa iscrizione? Ed egli domandò loro: Di chi è questa effigie e questa iscrizione? Gli risposero: Di Cesare. E Gesù disse loro: Rendete dunque a Cesare quello che è di Cesare, e a Dio quello che è di Dio” (Matteo, 22:19-21)

Gli imperi e i sistemi creati dagli uomini non solo di solito distruggono la ricchezza della realtà, ma tendono anche a dimenticare che rispetto a Dio noi siamo comunque sempre dentro il tempo. La mente dell’imperatore che tiene sotto controllo il mondo che conosce si innalza facilmente a un livello troppo alto, dal quale ciclicamente e inevitabilmente precipita (Proverbi, 16:18).

Orbis

La rete di vie di comunicazione che connetteva le diverse regioni dell’Impero Romano (schermata di ORBIS, programma online della Stanford University).

Peccati contro l’immagine di Dio

Le differenze che possiamo riconoscere tra la mente maschile e quella femminile non sono normative, cioè non vengono definite per imporle all’uno o all’altro individuo in quanto maschio o femmina, ma piuttosto per capire il senso di queste differenze. Non si tratta di dire che le donne sono e devono essere in una certa posizione, ma di capire che la femminilità consiste in una speciale attenzione a ciò che avviene in un certo tempo (cioè nello spazio) e che la mascolinità si manifesta nella capacità di ricostruire e prevedere eventi (mettendosi quindi fuori del tempo). Ognuno poi si trova ad essere quello che è.

uomo maschio e femmina 30 novembre.pptx.pptx (5)
Normalmente queste differenze sono più marcate nelle società tradizionali che nella nostra. Per esempio, nelle società nomadi dei deserti sudafricani che vivono ancora di caccia e di raccolta, i maschi, in generale più sensibili al movimento e alla ricostruzione dei percorsi, si specializzano nella caccia, mentre le femmine, che sono più capaci di riconoscere l’ordine spaziale (e trovare le cose), sono normalmente occupate nella cura e nella raccolta dei vegetali. Questo non vuol dire che bisogna per forza costringere le donne a trovare le cose, o dire che sono per forza meno adatte al governo di quanto lo siano i maschi. La Bibbia ci parla di donne più avvedute dei loro mariti, come Abigail (1Samuele 25:3), o addirittura più coraggiose di tutto il loro popolo, come la profetessa Debora (Giudici 4). Ma ciò non toglie che l’ordine generale è che alla donna non sia da attribuire un ruolo di governo, perché il governo deve stare fuori dal tempo, mentre la sensibilità della donna la rende preziosa per organizzare le cose che avvengono nel tempo, che si dispiegano cioè all’interno di un certo orizzonte spazio-temporale.

È in questo senso che la confusione tra i ruoli rimanda all’errore di scambiare il Creatore con la creatura, eternizzando quello che deve per forza passare o considerando passeggero quello che rimane per sempre. Dare a ciò che è temporale il valore dell’eternità è infatti il peccato dell’idolatria. Uno squilibrio che può presentarsi sia nel senso di una esagerata integrazione al fine di raggiungere la totalità del controllo (come appunto nel caso degli imperatori), sia nel senso di una esagerata importanza data al momento presente (come nel caso di Esaù, che vendette la sua primogenitura per una minestra di lenticchie, com’è raccontato in Genesi 25).
In un senso e nell’altro, possiamo collegare questi peccati al divieto di scambiarsi i vestiti tra maschi e femmine di cui abbiamo letto (in Deuteronomio 22:5) che il SIGNORE detesta chi fa tali cose. La femmina che si veste da maschio rappresenta (non che lo sia necessariamente, per carità!) la creatura che vuole prendere il posto del Creatore (come fanno i dittatori), il maschio che si veste da femmina rappresenta invece l’uomo che si lascia dominare dai suoi istinti anziché dominarli (il re corrotto e dissoluto, come per esempio il re Baldassar di cui si legge in Daniele 5, al quale non importava niente il timore di Dio necessario per amministrare il regno che aveva da poco ereditato da Nabucodonosor).

L’origine del mondo, e della nuova creazione

Ma da dove vengono questi peccati? Non siamo forse stati creati a immagine e somiglianza di Dio? Il fatto è che essere stati creati a immagine di Dio non vuole dire che siamo automaticamente anche secondo la sua somiglianza. Questa somiglianza sarà raggiunta quando sarà completata la formazione dell’uomo che comincia nel capitolo 2 del libro della Genesi, nel quale si parla anche della costruzione della donna (‘ishah אִשָּׁה) dall’uomo (‘ysh אִישׁ) e di come la sensazione (ciò che si vedeva e sapeva dell’albero) sia riuscita inizialmente a vincere sul ricordo (dell’ordine che il SIGNORE aveva dato ad Adamo di non prendere del frutto dell’albero della conoscenza di bene e di male): “La donna vide che l’albero era buono per nutrirsi, che era bello da vedere e che l’albero era desiderabile per acquistare conoscenza; prese del frutto, ne mangiò e ne diede anche a suo marito, che era con lei, ed egli ne mangiò” (Genesi 3:6). Da quella volta siamo tutti diventati in qualche misura schiavi dei giudizi che formuliamo sulla base delle nostre sensazioni o, comunque, della nostra limitatissima esperienza. Siamo influenzati dalle minime variazioni. La nostra vita è veramente un vapore (Giacomo, 4:14).

Il Signore, invece, è sempre lo stesso, ieri oggi e in eterno (Ebrei, 13:8), niente lo può cogliere di sorpresa. In termini neuroscientifici, potremmo dire che nella mente di Dio sono perfettamente integrate tutte le possibili informazioni dell’Universo, perché la mente di Dio si estende a conoscere tutte le sue creature in tutti i luoghi e in tutti i tempi, creature alle quali egli stesso ha lasciato una grande libertà di generare un’infinità di differenze (non abbandonandole al caos, però, fissando anzi precisi limiti di epoche, di aree geografiche e di specie). Dio è il solo che conosca l’Universo e tutti gli enti che lo compongono, perché è Colui che cura i minimi dettagli in vista delle leggi che governano la totalità del creato e le leggi universali in vista delle più piccole creature. Una totale globalità (“Prima che i monti fossero nati e che tu avessi formato la terra e l’universo, anzi, da eternità in eternità, tu sei Dio”, Salmi 90:2) che va assieme a una perfetta localizzazione. Il Signore infatti ci assicura che ci conosce per nome (Giovanni, 10:3), che sarà sempre con noi (Matteo, 28:20), e che perfino i capelli del nostro capo sono tutti contati (Matteo, 10:30).

Solo in Dio, per definizione, globalità e località si incontrano e si bilanciano perfettamente. In questa luce, vediamo forse meglio come maschio e femmina prendano il senso di una dualità che fa parte della natura stessa di Dio, e che ci è stata trasmessa con la nostra coscienza.

II SIGNORE è colui che ci ricorda quello che altrimenti noi tenderemmo a dimenticare. Per questo ci ha dato le Scritture. E ha istituito la Pasqua proprio perché ricordassimo che il salvare  appartiene solo a lui, perché Israele si ricordasse è stato il SIGNORE a liberare il suo popolo dalla schiavitù in Egitto. E per questo Gesù nell’ultimo seder pasquale che ha celebrato con i suoi discepoli ha ordinato di celebrare la cena in sua memoria. Perché solo lui è morto per espiare per noi e solo lui ci può liberare dai nostri peccati.

Rispetto al SIGNORE, noi tutti, maschi e femmine, siamo la Sposa (anche in tutte le interpretazioni del Cantico dei cantici di Salomone, la Sposa è il popolo di Dio), che vive nel tempo ed è soggetta a sensazioni e a debolezze. Perché siamo necessariamente tutti – chi più, chi meno – limitati al nostro orizzonte spazio temporale (detto tra parentesi, la radice della parola orizzionte è contenuta nei verbi greci ὁρίζω e προορίζω che spesso, nei passi che si riferiscono al consiglio di Dio che dall’eternità interviene nel tempo, traduciamo con fissare e predestinare). Ma nel Mashiach, (cioè nell’Unto, che in greco è stato tradotto Christòs  
Χριστός), cioè con le nozze che il popolo celebrerà con il suo Re, spariranno tutte le nostre relative differenze, compresa quella tra maschi e femmine. Non perché diventiamo tutti anonimamente uguali, ma perché tra di noi non conteranno più le cose che contano oggi. Parlando della nuova vita che dovremmo avere anticipata già qui e oggi nella chiesa, ma che godremo pienamente solo nella nuova creazione, Paolo può infatti affermare con certezza: “Non c’è qui né Giudeo, né Greco; non c’è né schiavo, né libero; non c’è né maschio, né femmina; perché voi tutti siete uno in Cristo Gesù.” (Galati 3:28).
the-marriage-supper-of-the-lamb

Paolo infatti scrive a dei credenti in Cristo, a persone cioè che hanno creduto all’opera compiuta da Gesù sulla croce, dove il suo costato è stato trafitto facendone uscire acqua e sangue.
Nel testo originale greco di Giovanni, 19:34, per indicare il costato è usata la parola pleurà πλευρά, che è la stessa con cui, in Genesi 2:22, la Versione dei Settanta traduce la parola tsel’a צֵלָע che in italiano e in molte altre lingue traduciamo con costola e che indica il lato dell’uomo da cui da cui è stata costruita la donna.
Credendo a Cristo, i cristiani ricevono quest’acqua e questo sangue come testimonianza della necessità del sacrifico del Figlio del Dio vivente per il loro peccato e per la loro salvezza. Il battesimo in acqua attraverso il quale si diventa cristiani è una richiesta fatta a Dio di una buona coscienza (1Pietro, 3:21) ed esprime la propria identificazione con la morte, la sepoltura e la risurrezione di Cristo. Il sangue testimonia del battesimo nel fuoco cioè della trasmissione di un desiderio nuovo che è stato ricevuto dai credenti con il battesimo dello Spirito Santo dal giorno della Pentecoste.
Entrano così a fare parte di un nuovo corpo, un nuovo edificio fondato sulla roccia della rivelazione che il Figlio dell’uomo è anche il Figlio di Dio, sulla quale Cristo ha detto che edificherà la sua chiesa (come è scritto in Matteo 16:18, dove, per “edificare” è utilizzato lo stesso verbo – oikodoméō οἰκοδομέω – con cui la Versione dei Settanta esprime l’azione del SIGNORE che costruisce la donna dalla costola di Adamo).

La costruzione del Tempio è in effetti l’azione creatrice in cui si realizza l’immagine di Dio che è nell’uomo. La parola immagine contenuta nel testo originale di Genesi 1:27 da cui siamo partiti è tzelem. A differenza del termine temunah (תְּמוּנָה), (usato per indicare le immagini proibite dalla Legge mosaica, che sono in qualche modo ricavate per semplificazione dal loro originale), tzelem contiene la parola tzel (צֵל) che significa “ombra” e indica l’impronta che risulta da uno stampo. E non è certamente un caso che l’artista scelto dal SIGNORE per costruire il primo luogo santo si chiamasse proprio Betzaleel (בְּצַלְאֵל), cioè “nell’ombra di Dio” (Esodo, 31:2).

Nelle nozze tra il Figlio dell’uomo e la sua Sposa (composta di credenti maschi e femmine di tutte le razze e culture), nelle quali l’unitaria globalità di Dio dialoga eternamente con la molteplice località del suo popolo, si compirà l’opera perfetta della creazione. E l’azione creatrice, che è esclusivo appannaggio della divinità, attraverso l’uomo unto per essere consacrato al servizio degli altri uomini (Yeshu’a ha-Mashìach) si trasmetterà a tutti i credenti attraverso la sua parola, che dà la resurrezione e la vita eterna.

Queste sono le nozze a cui siamo invitati e alle quali dobbiamo prepararci a partecipare, per un regno eterno che siamo chiamati a condividere con il Re dell’Universo, il nostro Signore.

3 Comments

Lascia un commento